小児歯科専門医としてお伝えしたいこと「第1回 子供のう蝕と歯周疾患」
小児歯科専門医として歯科診療に携わって約25年が経ちます。今回、小児歯科をテーマに4回にわたり情報を提供させていただけることになりました。そこで、「小児歯科専門医としてお伝えしたいこと」と題して、歯科領域の方々にお伝えしたい内容に関して、最新の知見を踏まえて触れていきたいと思います。
子どものう蝕
う蝕は、主にミュータンスレンサ球菌(図1)が、砂糖を代謝してデンタルプラークを産生する際に生じる酸によって歯が脱灰する現象です。生まれたばかりの赤ちゃんの口の中にはミュータンスレンサ球菌は存在していませんが、乳幼児期に主に養育者の唾液を介して菌が伝播し定着していきます。ミュータンスレンサ球菌は粘膜ではなく歯に定着するため、生えている歯の本数が多くなると定着しやすくなっていきます。そこで、歯の数が増えるに従って、菌の伝播を防ぐことが重要であり、伝播のもとになる養育者自身の菌の量を少なくしておくことが大切です。具体的には、養育者に対して日々の口腔清掃を頑張っていただくとともに、う蝕があればきちんと治療しておくように勧めてください。養育者自身の唾液中に含まれる菌の量が多ければ多いほど、菌が伝播して定着しやすいことが分かっていますので、子どもの口腔清掃をする上で、まず養育者自身が自分の口腔清掃をきちんと行う必要があることを理解してもらってください。

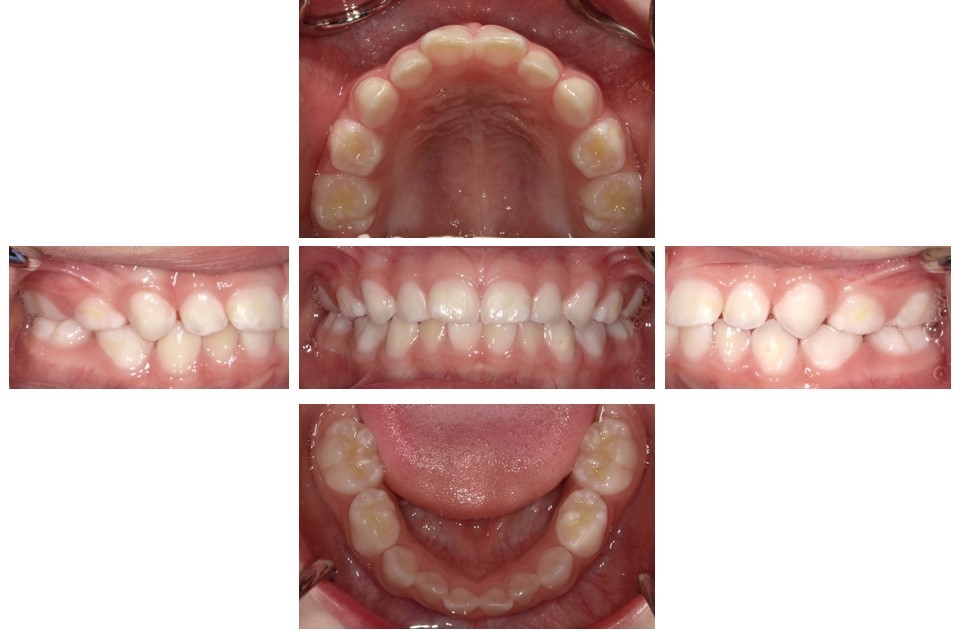
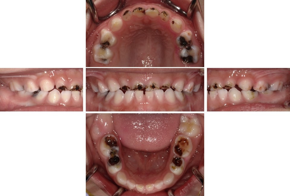
子どものう蝕の数は年々減少しており、う蝕の全くない子どもが多くいますが(図2)、重度のう蝕を有する子どもが一定程度存在し続けています(図3)。3歳まではう蝕がないことが一般的であり、この頃までに既にう蝕がある子どもに対しては、将来的にう蝕リスクが高い対象として、特に配慮していく必要があります。子どものう蝕の発生に影響する要因として口腔清掃不良が挙げられますが、砂糖の摂取に関連した不適切な生活習慣にも注目する必要があります。う蝕になりやすいのは、ほとんど唾液が分泌されず自浄作用が低下する「就寝時」です。そこで、就寝前に適切な口腔清掃を行うことが重要であり、砂糖を含む食品の摂取を控えるように指導してください。
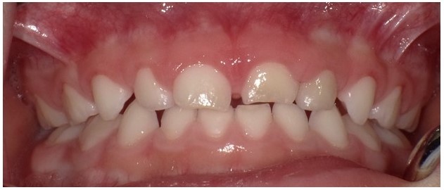
(図2)う蝕のない小児(3歳0か月男児)

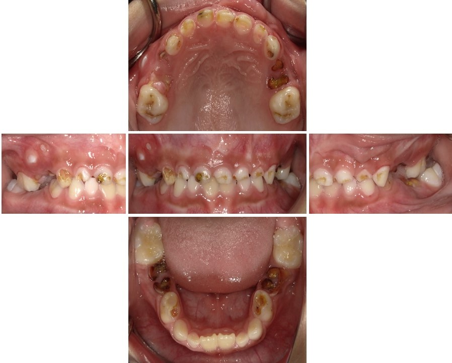
(図3)重度のう蝕を有する小児(5歳9か月男児)

小児歯科医は、一般的なう蝕に加えて、次の2つのタイプのう蝕に関して特に注意しています。
①哺乳う蝕
糖分を多量に含んでいる母乳を寝かしつけながら飲ませることで生じるう蝕のことを「哺乳う蝕」と呼んでいます。1歳半頃までにスムーズに卒乳できればよいのですが、就寝時にぐずったりすると根負けしてしまい、卒乳の時期が遅くなってしまうことがあります。哺乳う蝕では、一般的にう蝕にならない下顎前歯部までも侵されてしまうことが特徴であり、3歳以前に多くの歯にう蝕が発生してしまいます(図4)。そこで、1歳代のお子さんの保護者と接する機会があれば、卒乳に関して話題にしていただくのがよいと思います。また、「哺乳瓶う蝕」という用語もあります。これは、哺乳瓶に糖分を多量に含んでいる飲料を入れて与えることで生じるう蝕です。長時間にわたって砂糖を含む飲料を摂取することになるため、哺乳う蝕と同様に、低年齢にも関わらず多くの歯にう蝕が生じます。
(図4)哺乳う蝕の一例(2歳6か月男児)

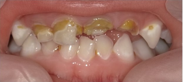
②イオン飲料によるう蝕
スポーツドリンクなどのイオン飲料は、身体によいものとしてのイメージが定着しており、暑い時期などには特に多量に摂取される機会もあるかと思います。一方で、イオン飲料には、多量の糖分が含まれていることがあまり意識されていません。特に、ペットボトルから摂取する際には、
無意識のうちに回数が多くなる傾向にあります。そのため、断続的であっても口腔内のpHが低下する総時間が増加することで脱灰の時間が増加して、多くの歯にう蝕が生じてしまいます(図5)。そもそも、水分補給には水やお茶を中心にすることが重要であり、イオン飲料を摂取する際には、就寝前は必ず避けるように指導してください。
(図5)イオン飲料によるう蝕の一例(13歳男子)

小児歯科領域では、「特徴的な歯科所見をもとに、子ども虐待の徴候をつかもう」という動きが出てきています。具体的には、図6に示すような所見が挙げられています。実際に唐待を受けている子どもが、歯科治療に連れてこられる可能性は低いかと思いますが、もし疑いのあるケースに遭遇した際には適切な対応をお願いいたします。図7にネグレクトによって牛じた多発性う蝕の症例を示します。学校歯科医をされている先生方は、学校函科健診の場でこのような内容が話題になることがあるのではないかと推察しています。ただ、対応に迷うケースも多いかと思いますので、「多発性う蝕に対する専門家への処罹の依頼」という名目で、私たち小児歯科専門医にお任せいただくのも一案だと思います。
(図6)歯科領域で子ども虐待を疑う事例

(図7)ネグレクトによる重度う蝕の一例(6歳8か月男児)

子どもの歯周疾患
歯周疾患は歯肉炎と歯周炎に分かれますが、子どもで遭遇するのはほとんどが歯肉炎であり(図8)、歯周炎は極めて稀です。つまり、適切な口腔衛生指導を実施し、歯面清掃や歯石除去を行うことで、ほとんどのケ—スで容易に健全な歯周状態に戻すことができます。保護者によっては、家庭で歯石を取り除こうと一生懸命歯磨きをされることがありますので、歯科医院で専門的な器具を用いないと除去できないことを理解してもらってください。
(図8)歯肉炎の一例(4歳6か月男児)全顎的に歯肉の腫脹が認められる。

歯石の沈眉は、睡液腺の開口部に接する「下顎乳前歯部舌側」と「上顎乳臼歯部頬側」によく認められます。まずは、そこをチェックしていただき、そこにあれば他の部位も確認してみてください。デンタルプラークが歯石のもとであることから、H頃からデンタルプラークの沈着を減らすことで、歯石の沈着も減らせることを啓発していただければと思います。
歯周病を引き起こす細菌が数種類知られていますが、いずれも酸素がないところでないと生息が難しいものばかりです。子どもでは歯周ポケットはせいぜい1~2ミリ程度ですので、歯周病菌はなかなか定着できません。ただ、養育者の睡液から伝播してきますので、一時的に検出されることはありますが、連続して検出はされないことがほとんどです。このことは、小児期には歯周病菌は伝播してもなかなか定着には至らないということを意味しています。一方で、永久歯列が完成した思春期以降で歯周ポケットがある程度深くなってくると、歯周病菌が定着する人が現れてきます。
子どもにおいて歯周炎は極めて稀ですが、全身の病気に伴って生じることがあります(図9)。そこで、歯周炎を呈する子どもの症例に遭遇した際には、小児歯科専門医にご柑談いただきたいと思います。
(図9)ダウン症患者で生じた歯周炎の一例(16歳女子)全顎的に歯肉の炎症と歯槽骨吸収が認められる。

症例によっては、小児科医にも相談することで、全身疾患の診断につなげる必要があります。その一例として「低ホスファターゼ症」という歯と骨の病気が挙げられますが、この病気については次回触れさせていただきます。
~著者プロフィール~
仲野 和彦
<略歴>
◎1996年 大阪大学歯学部卒業
◎2002年 博士(歯学)(大阪大学)
◎2014年 大阪大学大学院歯学研究科小児歯科学教授(〜現在)
◎2014年 大阪大学歯学部附属病院小児歯科科長(〜現在)
◎2018年 大阪大学大学院歯学研究科副研究科長(〜現在)
<役職>
◎日本小児歯科学会常務理事(国際渉外委員長)
◎日本小児歯科学会近畿地方会会長(常任幹事)
◎日本小児歯科学会専門医指導医
◎日本循環器学会「感染性心内膜炎の予防と治療に関するガイドライン(2017年改訂版)」班員



