小児歯科専門医としてお伝えしたいこと第2回 低ホスファターゼ症
前回の最後に「子どもの歯周疾患のほとんどが歯肉炎であり、歯周炎は稀である」ということを説明いたしました。一般的に、子どもの歯周炎は、免疫系や血液系などの全身疾患を持たれている場合に多く認められます。このような患者さんは、医科領域で診断されてから歯科領域を受診されますので、歯科に来られた時には既に病名が分かっていることがほとんどです。一方で、歯科領域の人たちの気づきで、歯周炎様の所見をもとに、未診断の全身疾患が明らかになることがあります。その1つとして最近注目されているのが、「低ホスファターゼ症」という疾患です。

教科書の記述
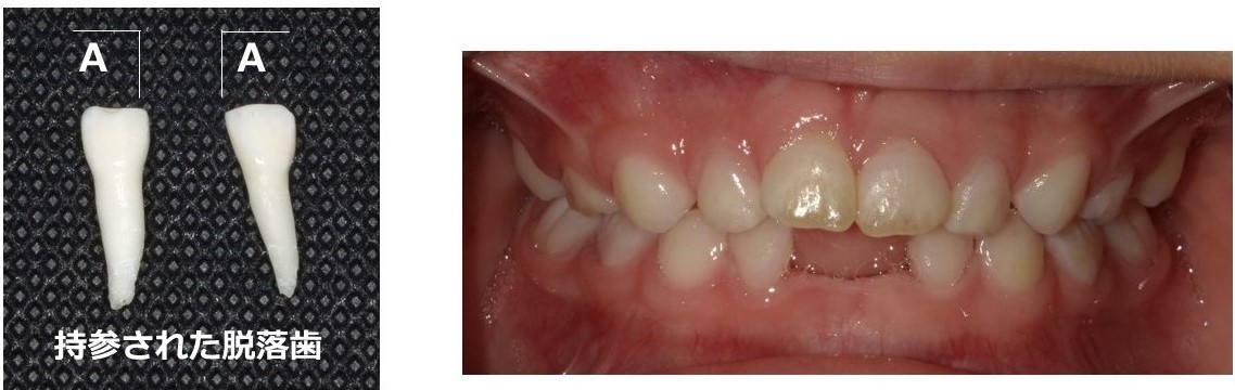
歯学生が使用している小児歯科学の教科書には、低ホスファターゼ症は、アルカリホスファターゼという酵素量の低下により、歯または骨に症状を示す疾患であると記載されています。特に強調されているのが、「発生頻度が10〜15万出生あたり1人」ということと「歯の症状は乳歯の早期脱落」であるという2点です。また、典型例として、歯根が長いまま脱落した乳歯の写真(図1)が掲載されているのをよく見かけます。歯の脱落は、アルカリホスファターゼの量の低下によって、歯根表面のセメント質に形成不全が生じ、歯根と歯槽骨との接着が不十分になるために起こるとされています。

(図1)低ホスファターゼ症の一例(軽症なタイプ:4歳3か月女児)
2歳頃に下顎両側乳切歯が脱落したとのこと。隣在歯にも動揺を認める。
2015年になって、日本では世界に先駆けて根本治療薬が使われるようになり、人工的に作ったアルカリホスファターゼを補充することで、これまでは生存が困難であった重症なタイプの患者さんの命がつながる症例が増加してきました。私たちの診療室でも、そのような患者さんの受診が増えてきて、典型像とされてきた「歯根が長いまま脱落した乳歯」とは違う所見に多く遭遇しました。そこで考えたのが、全身の骨の形成がよくないほどの重症なタイプでは、歯全体の形成にも問題があり、歯根自体があまりできていなかったり、歯冠の形成がよくなかったりするということです(図2・3)。このことから、低ホスファターゼ症は、重症なタイプと軽症なタイプとを分けて考える必要があるのではないかという考えに至りました。

(図2)低ホスファターゼ症の一例(重症なタイプ:6歳4か月男児)
多数歯が脱落しており、残乳歯にも形成不全を認める。

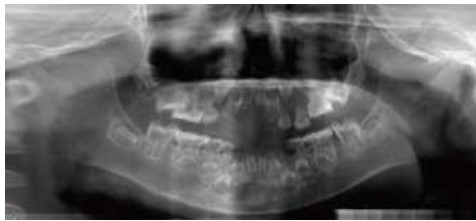
(図3)低ホスファターゼ症の一例(重症なタイプ:図2と同一患者さん)
7歳0か月時のパノラマエックス線画像では、萌出歯の形成不全を認め、永久歯胚の形成状態もよくない。
最近得られた知見
低ホスファターゼ症は、アルカリホスファターゼをコードする遺伝子に変異を有するために生じる遺伝性疾患です。日本人では、そのような変異を有する人が500人に1人ほどの頻度であることが知られています。低ホスファターゼ症の遺伝形式は、(図4)の上側に示しますように常染色体潜性(劣性)遺伝というタイプで、父方からと母方からの変異遺伝子を受け継ぐ形で1/4の確率で罹患者が生じると考えられています。これが重症なタイプの遺伝形式であり、10〜15万出生あたり1人という頻度であると考えられます。一方で、軽症タイプは、(図4)の下側に示しますように、父方もしくは母方から一方の変異遺伝子を受け継ぐことで1/2の確率で生じる常染色体顕性(優性)遺伝であることが分かってきました。この遺伝形式では、数千人に1人で罹患者が生じることが想定され、重症なタイプよりもかなり高い頻度ということになります。
さらに、前述のように、教科書に記載の「歯根が長いまま脱落した乳歯」という典型的な所見は軽症なタイプのものであり、重症なタイプの患者さんでは歯全体の形成に問題があるということが分かってきました。このことを意識できなかったのは、重症なタイプの患者さんはこれまでは生存自体が困難であり、命がつながれたとしても、歯科受診が可能な全身状態ではなかったということからだと考えています。最近になって、重症なタイプの子ども達を診査することが増加してきて、このことをより実感しています。

(図4)低ホスファターゼ症の遺伝形式
スクリーニング体制の構築
小児科領域には数多くの疾患があるため、骨系統疾患の専門の先生でないと低ホスファターゼ症の診断に至るのは難しいということをよく耳にします。一方で、歯科領域では、乳歯の歯周炎という稀な症例に遭遇した際に、それを機に全身疾患との関連を想像することができると思います。骨系統疾患の専門の先生からは、歯科領域でうまくスクリーニングしてもらえるとありがたいということをよく言われます。
そこで、乳幼児健診でスクリーニングする体制づくりの構築にチャレンジしています。最初は、大阪大学付近の自治体から始めましたが、現在では全国的に広がっていっています。(図5)は、2023年1月の時点で、健診において診査項目や問診事項に「乳歯の早期脱落」のスクリーニング体制が導入済みまたは導入を予定している280自治体の存在する34都道府県を塗りつぶしています。神戸市、大阪市、横浜市、福岡市、北九州市などの大都市をはじめ、人口ベースでは約28%までカバーできるようになりました。今後、さらにその活動を推進し、どこで生まれても、どこで生活している子どもでも、等しくスクリーニングが受けられるようにしたいと思っています。

(図5)乳幼児歯科健診における乳歯早期脱落のスクリーニング体制の構築
今後の課題
今後解決していかなければならない重要な課題がいくつかあります。まず1つ目は、最初は歯だけにしか症状がなくても、成長とともに全身の骨にも症状が出てくる症例が存在するということです。早期に診断がついていれば、日本では状況によって根本治療薬を使うことも考慮できますので、早期診断体制の構築は大変重要であると考えています。
2つ目は、未診断の低ホスファターゼ症の患者さんは成人にも多く存在し、その中で骨粗鬆症と間違われる方がいるということです。骨粗鬆症の治療に使う薬が、低ホスファターゼ症の状態を悪化させることもありますので注意が必要です。
3つ目は、「乳歯の早期脱落」だけではなく永久歯でも脱落する症例があるということです。思春期以降は、小児歯科医のフォローする領域から離れていきますので、これまでは実態をつかめていませんでした。今後、歯周病の専門医との連携が必要であると感じています。
最後に、最大の課題として、歯科領域ではまだ根本治療法がないということが挙げられます。この点は、私たち歯科関係者が全力を尽くして解決につなげていかなければならないと考えています。
現在私たちは、遺伝子改変動物などを用いた基礎研究を行い、根本治療法の開発を目指して日々努力しています。近い将来、その成果を患者さんに届けることができるように全力を尽くしてまいります。
~著者プロフィール~
仲野 和彦
<略歴>
◎1996年 大阪大学歯学部卒業
◎2002年 博士(歯学)(大阪大学)
◎2014年 大阪大学大学院歯学研究科小児歯科学教授(〜現在)
◎2014年 大阪大学歯学部附属病院小児歯科科長(〜現在)
◎2018年 大阪大学大学院歯学研究科副研究科長(〜現在)
<役職>
◎日本小児歯科学会常務理事(国際渉外委員長)
◎日本小児歯科学会近畿地方会会長(常任幹事)
◎日本小児歯科学会専門医指導医
◎日本循環器学会「感染性心内膜炎の予防と治療に関するガイドライン(2017年改訂版)」班員



